
こんにちは、なかがわら胃腸科クリニックの中川原です。
「お尻から血が出たけれど、昔から痔があるから大丈夫だろう」「便秘気味だから切れただけかな」と、自分自身で判断して様子を見てしまっている方はいらっしゃいませんか?
実は、その判断が大きな病気を見逃す原因になることがあります。今回は、当院を受診されたある患者様のエピソードを交えながら、大腸検査の大切さについてお話しします。
「いつもの痔」だと思っていた出血の正体
先日、数ヶ月前から続く便秘に悩む患者様が来院されました。その方は以前から「いぼ痔」を患っており、排便時に出血することが珍しくなかったそうです。
ある日、排便時に強く力んだ際、肛門が裂けるような感覚と出血がありました。「また痔が悪化したのかな」と思いつつも、便秘がひどくなったことをきっかけに当院を受診されました。
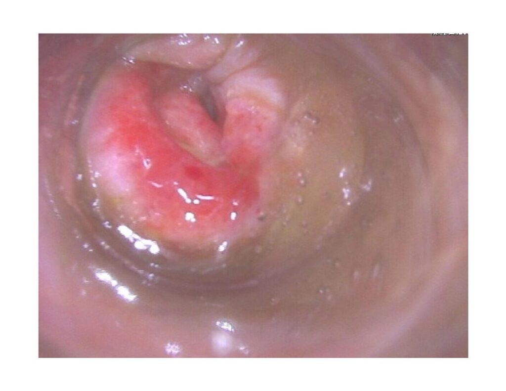
詳しく診察するため肛門内視鏡検査(アノスコピー)を行ったところ、痔ではなく、**直腸付近に腫瘍(ポリープやがんの可能性のある塊)**が見つかったのです。
患者様はすぐに外科手術が可能な専門病院へご紹介し、適切な治療を受けられました。もし「いつもの痔だ」と思い込み、受診が数ヶ月遅れていたら、状況はもっと深刻だったかもしれません。
【お問い合わせ・ご予約】
[電話予約はこちら]
大腸カメラは「怖い・痛い」から「眠っている間に終わる」へ
「検査が必要なのはわかっているけれど、大腸カメラは痛そうだし恥ずかしい……」
そう感じて二の足を踏んでしまうお気持ち、本当によくわかります。
しかし、現在の内視鏡検査は、驚くほど楽に受けられるようになっています。当院では、金沢市や粟ヶ崎周辺の皆様が安心して検査を受けられるよう、**「無痛に近い大腸カメラ」**にこだわっています。
当院の検査の特徴
- 鎮静剤の使用: 意識をうとうとさせた状態で検査を行うため、痛みや違和感をほとんど感じることなく、眠っている間に検査が終わります。
- 炭酸ガス送気: お腹の張りを抑えるガスを使用し、検査後の膨満感を軽減します。
- 専門医による高度な技術: 大腸の形に合わせて優しくスコープを進める「軸保持短縮法」を用い、腸を無理に伸ばしません。
早期発見こそが、あなたとご家族を守る唯一の方法です
大腸がんは、早期に見つければ治る確率が非常に高い病気です。しかし、初期段階では自覚症状がほとんどありません。「出血」という体からのサインが出たときは、原因を特定する絶好のチャンスです。
「痔だと思っていたら実は大きな病気だった」というケースは、決して他人事ではありません。どんなに小さな不安でも構いません。まずは専門医に相談し、一度お腹の中をきれいにチェックしてみませんか?
金沢市・粟ヶ崎で大腸の不調にお困りの方は当院へ
排便時の出血や長引く便秘、お腹の張りなど、少しでも気になる症状があれば、**金沢市・粟ヶ崎で大腸カメラ・無痛検査に対応している「なかがわら胃腸科クリニック」**へご相談ください。
私たちは、あなたの不安を安心に変えるために、一人ひとりに寄り添った丁寧な診察をお約束します。
【お問い合わせ・ご予約】
[電話予約はこちら]